Invisalign
The Clear Way to Your Perfect Smile with Invisalign®
Straighten your teeth without anyone knowing. Invisalign offers a flexible, comfortable, and virtually invisible solution for adults and teens. Discover the future of orthodontics at Maple Ridge.
Why Choose Invisalign
Choosing an orthodontist is a big decision. At Maple Ridge Ortho, we treat you like family. Our team, led by 3 expert doctors, uses the latest technology in a warm, welcoming environment to ensure your comfort and deliver the best results.
Virtually Invisible
Clear aligners blend with your natural teeth.
Eat Freely
Remove aligners during meals — no diet restrictions.
Fewer Visits
Faster results with fewer in-office adjustments.
How Invisalign Works
A Modern, Invisible Solution
Invisalign uses a series of custom-made, clear plastic aligners to gently and precisely shift your teeth into place. Unlike braces, these aligners are completely removable. This means you can eat, drink, brush, and floss normally.
- Busy Adults & Professionals
- Teens Who Want a Discreet Look
- Correcting Gaps, Crowding & Bite Issues
Ideal for Teens & Adults
Perfect for Every Lifestyle
Invisalign is designed to fit perfectly into your lifestyle — whether you’re a busy student, a working professional, or someone who loves to smile confidently at every occasion.
Enjoy the freedom to eat, speak, and live comfortably without the look of traditional braces.
It’s clear, convenient, and created just for you.
The Treatment Process
Your High-Tech Path to a Straighter Smile
Your Free 3D Scan
No messy impressions! We use an advanced iTero 3D scanner to create a precise digital map of your teeth and even show you a preview of your future smile.
Your Custom Aligners
You'll receive your series of custom-made, clear aligners. You'll wear each set for 1-2 weeks, only removing them to eat, drink, brush, and floss.
The Big Reveal
With fewer office visits and easy-to-change aligners, you'll be showing off your new, confident smile often in less time than traditional braces!
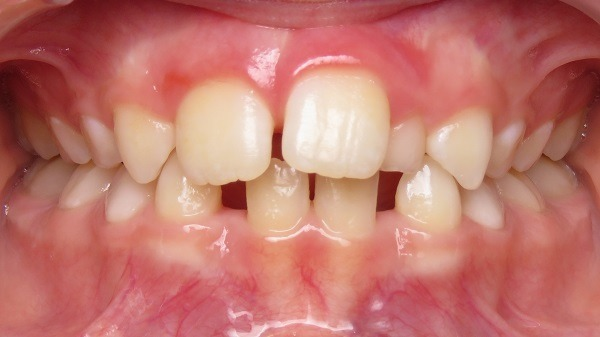
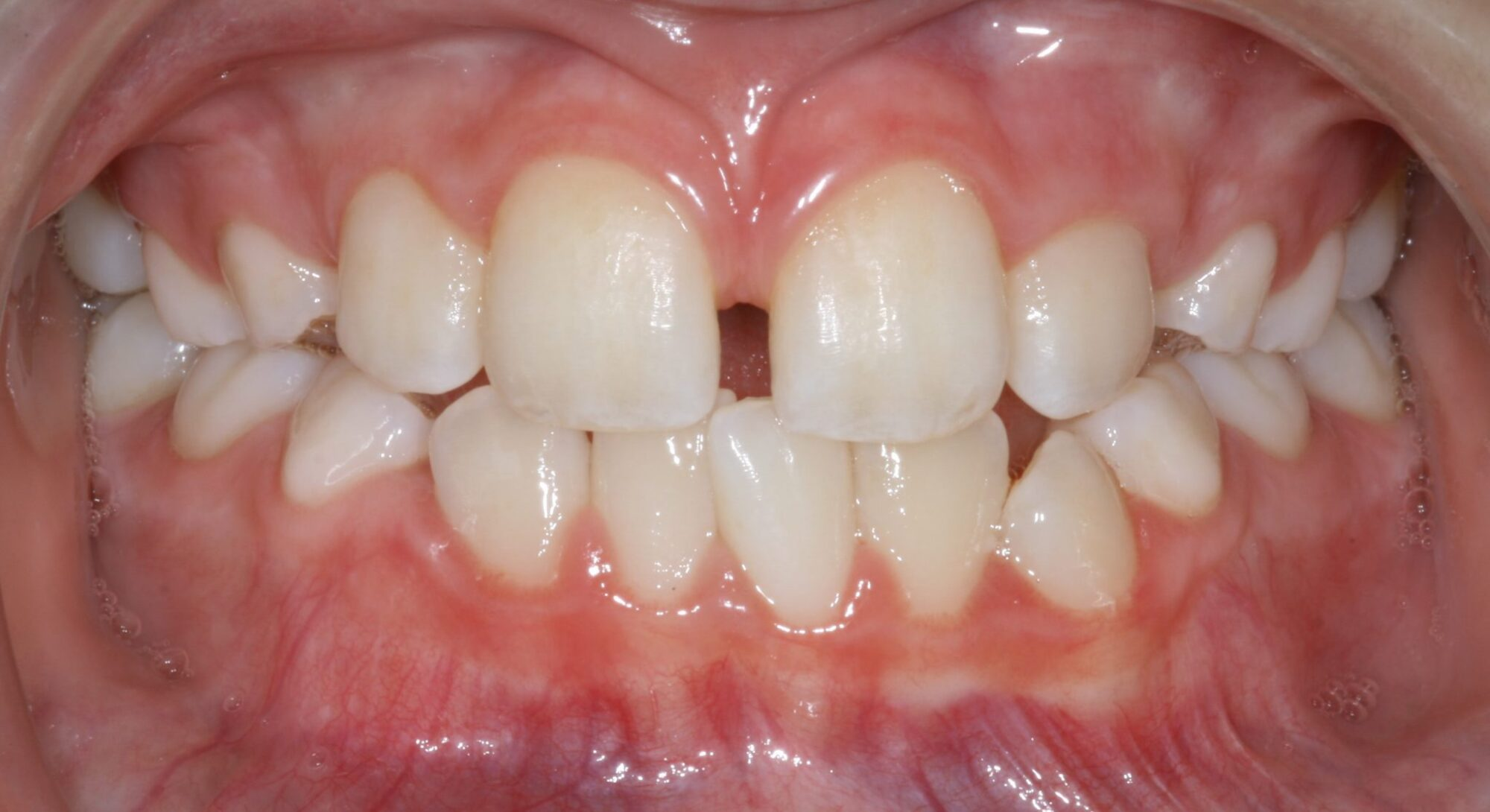
See the Invisalign Transformations


Modern Invisalign FAQ
For the best and fastest results, you must wear your aligners for 20 to 22 hours per day. You should only remove them to eat, drink (anything other than plain water), brush, and floss. Consistency is the key to success with Invisalign!
No! This is one of the biggest advantages of Invisalign. You remove your aligners every time you eat or drink (except water). This means you can continue to enjoy all your favorite foods—like popcorn, nuts, and hard candies—without worrying about breaking a bracket or wire.
Most patients describe the feeling as 'pressure' or 'discomfort' rather than 'pain'. You may feel this mild pressure for the first few days of wearing a new set of aligners, which is a normal sign that your teeth are moving as planned. This discomfort is typically less than with traditional braces.
Cleaning your aligners is simple. You can gently brush them with a soft-bristled toothbrush and clear, unscented soap or toothpaste every time you brush your teeth. Avoid using hot water, as it can warp the plastic. We will provide you with full cleaning instructions.
Yes! Thanks to advancements in technology, Invisalign can now treat a wide variety of cases, from simple to complex, just as effectively as traditional braces. At your free consultation, our doctors will use a 3D scan to determine if Invisalign is the perfect solution for your specific goals.
Ready to Start Your Invisalign Journey?
Your first consultation is 100% free. Let’s sit down, discuss your goals, and show you what’s possible. No pressure, just a path to a better smile.